Trong nhiều năm trở lại đây, bọc răng sứ Ceramill đã trở thành sự lựa chọn hàng đầu cho những ai muốn sở hữu một hàm răng hoàn hảo nhưng không kém phần tự nhiên.
Răng sứ Ceramill là một thương hiệu răng toàn sứ của Đức. Đây là dòng sản phẩm sử dụng 100% phôi sứ nguyên chất, không có kim loại. Chính vì thế dòng răng sứ này không bị đen viền nướu khi sử dụng và đang được rất nhiều khách hàng lựa chọn để cải thiện thẩm mỹ, chức năng ăn nhai của mình. Vậy để hiểu thêm về nguồn gốc, cấu tạo cũng như những ưu điểm của dòng sứ này hãy cũng Lab Nha Khoa tìm hiểu qua bài viết dưới đây bạn nhé!
1. RĂNG SỨ CERAMILL LÀ GÌ?
Răng sứ Ceramill ra đời từ năm 2009, được phát triển bởi tập đoàn Amann Girrbach Germany của Đức và được nhập khẩu, phân phối chính hãng bởi công ty Pacific Việt Nam. Đây là dòng răng sứ ứng dụng công nghệ CAD/CAM 3D, tự động chế tác ra mẫu sứ tinh xảo cùng với độ chuẩn xác tuyệt đối và độ bền màu cao.
Răng sứ Ceramill được chế tác 100% từ sứ, không chứa thành phần kim loại, được giới chuyên gia và các bác sĩ đánh giá cao về mặt thẩm mỹ, độ bền chắc cùng khả năng chịu lực, chịu nhiệt tốt. Vì vậy, loại sứ này thường được khách hàng lựa chọn để bọc sứ nguyên hàm, phục hình sứ trên implant, làm cầu răng sứ,..
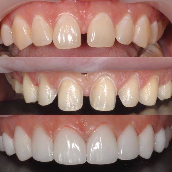
2. CẤU TẠO RĂNG SỨ CERAMILL
Răng sứ Ceramill của Đức được cấu tạo gồm có lớp sườn bên trong làm từ vật liệu Zirconia cao cấp có đặc tính bền chắc, khả năng chống đứt gãy, chống mài mòn và chịu lực cao. Bên ngoài là lớp men sứ Ceramill Kiss có độ lực lên tới 1566 Mpa.
.png)
.jpeg)
Ngoài ra, răng sứ Ceramill còn có tính thẩm mỹ cao, độ trong, bóng mờ tự nhiên như răng thật ngay cả dưới điều kiện có ánh sáng chiếu vào. Chất liệu sứ Ceramill rất mỏng, nhẹ, nên khi làm răng sẽ không phải mài quá nhiều, tránh xâm lấn mô răng thật tối đa.
3. ƯU ĐIỂM VƯỢT TRỘI
3.1.Tính thẩm mỹ
Do được cấu tạo hoàn toàn từ sứ nguyên chất nên không gặp phải tình trạng tình trạng răng ố vàng hay xỉn màu sau thời gian dài sử dụng. Zolid có độ trắng sáng, độ bóng nhẹ tự nhiên và đều màu, không bị đục màu, không bị ố vàng hay xỉn màu sau thời gian dài sử dụng.
3.2. Khả năng chịu lực
Phần khung sườn bên trong được làm từ sứ Zirconia cứng chắc, nung ở 1450 độ C, có khả năng chịu lực lên tới 1566 Mpa (gấp từ 4 – 5 lần răng thật). Chính vì vậy, răng sứ Ceramill hoàn toàn có thể đảm nhận tốt vai trò ăn nhai và tính thẩm mỹ không khác gì răng thật.
3.3. Lành tính và thích hợp với mọi loại cơ địa của người phục hình .Răng sứ Ceramill đã được nha khoa quốc tế công nhận là an toàn với cơ thế, chống bám của các thực phẩm cao, không bị đổi màu cả khi uống café hay hút thuốc.
3.4. Tích hợp công nghệ CAD/CAM hiện đại
Răng sứ Ceramill được sản xuất dựa trên công nghệ chính xác cao, có sự cân bằng giữa Zirconia và Kiss. Do đó sản phẩm đảm bảo độ cứng cao và tính thẩm mỹ.
.png)
Ứng dụng công nghệ CAD/CAM vào răng sứ Ceramill
4. RĂNG SỨ CERAMILL CÓ MẤY LOẠI?
Răng sứ Ceramill gồm hai loại đó là: Ceramill Zolid và Ceramill Zi. Hai loại này đều có khả năng chịu lực lớn, có tính tương thích sinh học cao với cơ thể. Và mỗi loại sẽ có những đặc tính vượt trội khác nhau, chúng ta hãy cùng tìm hiểu rõ hơn nhé!

2 loại răng sứ Ceramill
4.1. Sứ Ceramill Zolid
Là loại răng sứ có lớp khung sườn được làm từ vật liệu sứ Zircon Odixe cao cấp. Ceramill Zolid được nung ở nhiệt độ 1450 độ C nên đáp ứng được độ bền chắc, độ trong mờ trong và khả năng chống bám màu của thức ăn tốt, luôn giữ răng được trắng sáng đẹp mắt.
.jpg)
4.2. Sứ Ceramill Zi
Đây là loại răng sứ được làm từ vật liệu Zirconia dạng Y-TZP ZrO2 (trong này có chứa thành phần Ytri giúp liên kết cấu trúc tinh thể Zirconia ổn định). Răng sứ được nung ở nhiệt độ 1450 độ C đảm bảo khung sườn đạt tiêu chuẩn cao.
5. NÊN BỌC RĂNG SỨ CERAMILL ĐỨC KHI NÀO?

Áp dụng cho mọi khuyết điểm của răng miệng như: răng thưa, hô, móm nhẹ, sứt mẻ hay răng sứt và đối với những ai có nhu cầu làm răng tăng tính thẩm mỹ.
Răng nhiễm màu nặng do dùng kháng sinh, hút thuốc lá, cafe… mà không thể áp dụng phương pháp tẩy trắng.
Có thể sử dụng kết hợp với các phương pháp phục hình răng khác như phương pháp làm cầu răng sứ, trồng răng nhân tạo implant.
Như vậy, với những thông tin trên, răng sứ Ceramill là loại răng sứ xứng đáng để lựa chọn, không những có tính thẩm mỹ cao mà còn độ bền tốt, tương thích với cơ sở cao, đảm bảo tính thẩm mỹ và cải thiện chức năng ăn nhai của bạn.
Tuy nhiên, khi quyết định bọc răng sứ, bạn nên tìm đến nha khoa uy tín để có thể an tâm gửi gắm sức khỏe răng miệng của mình nhé!
5.THẺ BẢO HÀNH CERAMILL

Thời hạn bảo hành của răng sứ Ceramill là 10 năm. Chúng tôi sẽ gửi thẻ bảo hành chính hãng kèm sản phẩm đến quý bác sĩ, nha sĩ. Thông tin chi tiết bảo hành răng sứ Ceramill Zolid quý khách truy cập vào website: nhakhoathaibinhduong.com